

Dişlerde Oluşan Sararmalara Dikkat
DİŞ HEKİMİ YALÇIN GENÇ

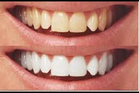
Diş Hekimi Yalçın Genç, dişlerde oluşan sararmalara dikkat edilmesi konusunda uyarılarda bulundu.
Diş Hekimi Yalçın Genç, “Diş beyazlatma; çeşitli nedenlerle renk değiştirmiş ve sararmış dişlerin rengini; kişiye özel birkaç ton açmak için uygulanan kozmetik bir çözümdür. Estetik diş hekimliğinde kullanılan diş beyazlatma işlemi, estetik diş hekimliğindeki en önemli sorunlardan olan diş renkleşmelerini önlemeye yöneliktir. Dişlerin doğal renkleri yıllarla ve kullanılan çay, kahve sigara etkisiyle koyulaşır. Bu dişlere porselen vs. yaptırmak yerine bleaching olarak da adlandırılan beyazlatma yöntemi uygulanır ve bu işlem sonunda dişler durumuna göre sekiz-on tona kadar açılır. Bleaching (diş beyazlatma) işleminde, dişin mine ve dentin tabakalarına nüfuz edilerek bu bölgelerde oluşan renklenmeler kaldırılıp, dişin rengi istenilen tona kadar beyazlatılabilmektedir” dedi.
İki tip beyazlatma işleminin olduğunu ifade eden Dt. Genç, “1- Office Bleaching (Klinikte Diş Beyazlatma) 2- Home Bleaching (Evde Diş Beyazlatma). Office Bleaching: Bu beyazlatma yöntemi; dişhekimi tarafından klinikte uygulanır. Dişe sürülen beyazlatıcı maddenin üzerine beyazlatmayı hızlandıran bir ışın uygulanır. Kullanılan beyazlatma jelleri genellikle karbonitperoksit ihtiva eder. Home Bleaching: Sizden alınan ölçülerle hazırlanan plakları günde bir kaç saat takarak bayazlatma işlemini evinizde yaparsınız. Doktorunuzun önerdiği miktardaki ağartma jelini plağın dişlerinizin ön yüzüne denk gelecek kısmına koyar, plağı ağzınıza yerleştirirsiniz. Ortalama 3 ila 6 günlük kullanım sonucu istediğiniz renge kavuşabilirsiniz. Evde yapılan ağartma yöntemiyle özellikle kanal tedavisi görmüş canız dişlerdeki koyu renk giderilemeyebilir. Ya da tetrasiklin lekeleri dediğimiz lekeler için sonuç alınmayabilir. Çünkü ağartma jelinin konsantrasyonu diş veya dişetlerinize zarar gelmesin diye düşük tutulmuştur. Home bleachingde kullanılan ağartma jelinin etken maddesi yüzde 10 -16-22 lik oranda carbomid peroksittir (CH4N2O2). Carbomid peroksit beyaz kristaller halindedir. Bu beyaz kristallerle su temasa geçtiğinde ağartıcı madde olan hidrojen peroksit açığa çıkar. Hidrojen peroksit de dişte ağartma işlemini yapan maddedir” açıklamalarında bulundu.







